Мужчина, который живёт без 90% мозга, озадачил учёных
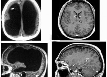
Магнитно-резонансная томограмма пациента с практически отсутствующим мозгом, но ведущим нормальную социальную жизнь. Фото: Feuillet et al./The Lancet Французский мужчина, живущий...
Магнитно-резонансная томограмма пациента с практически отсутствующим мозгом, но ведущим нормальную социальную жизнь. Фото: Feuillet et al./The Lancet Французский мужчина, живущий...
Самый мощный в мире медицинский МРТ-сканер, оснащенный магнитом весом более 130 тонн, был представлен средствам массовой информации 6 июля институтом...
Сообщалось, что витамин D имеет широкий спектр преимуществ. Тем не менее, недавнее исследование показывает, что чрезмерное употребление витамина D может...
Медицинские устройства подразделяются на три основные категории: активные медицинские устройства, неактивные медицинские устройства и медицинские устройства для диагностики in vitro:...
Что нужно зарегистрировать? медицинское устройство: как производитель вы размещаете медицинские приборы класса I на голландском рынке. производитель: вы являетесь голландским...

© 2020 Медицинский журнал «g35.club». Медицинский сайт все о рассеяном склерозе. Вся Информация на данном сайте не должна использоваться для самостоятельной диагностики и лечения и не может быть заменой очной онсультации врача.
Пользовательское соглашение и политика конфиденциальности
© 2018-2020 сайт журнал "G35.club" Медицинский сайт все о рассеяном склерозе.