Сельма Блэр говорит, что ее недавняя химиотерапия РС повлияла на ее зрение, способность фокусировать глаза
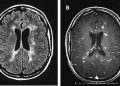
Сельма Блэр рассказала в Instagram, что ее недавнее лечение РС влияет на ее зрение.Актриса говорит, что ей трудно фокусировать глаза.У...
Сельма Блэр рассказала в Instagram, что ее недавнее лечение РС влияет на ее зрение.Актриса говорит, что ей трудно фокусировать глаза.У...
Наличие хронических активных поражений в головном мозге может дать представление о том, как быстро будут развиваться симптомы рассеянного склероза (РС). Исследователи...
Исследование на наличие молекул жира (липидов), присутствующих в спинномозговой жидкости (CSF) у людей с рассеянным склерозом (MS), может быть очень полезным способом диагностики и...
Согласно исследованию, проведенному на японских пациентах, замена аминокислоты на фенилаланин и специфический вариант гена HLA класса I связаны с повышенным риском развития рассеянного склероза (МS). Исследователи также определили...
Сегодня есть доказательства того, что некоторые варианты здорового образа жизни могут фактически уменьшить симптомы рассеянного склероза (РС) у людей живущих...

© 2020 Медицинский журнал «g35.club». Медицинский сайт все о рассеяном склерозе. Вся Информация на данном сайте не должна использоваться для самостоятельной диагностики и лечения и не может быть заменой очной онсультации врача.
Пользовательское соглашение и политика конфиденциальности
© 2018-2020 сайт журнал "G35.club" Медицинский сайт все о рассеяном склерозе.