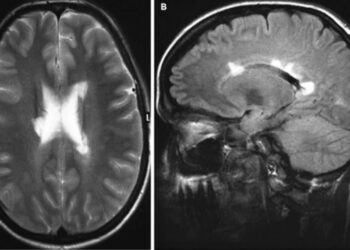
X-связанная адренолейкодистрофия (X-ALD) - редкое наследственное нарушение обмена веществ, при котором накопление жирных кислот с очень длинной цепью (VLCFAs) приводит...
ЧИТАТЬ ВСЕБрюс Трапп, доктор философии, заведующий отделением неврологии в клинике Кливленда, был ведущей частью группы исследователей, которые недавно идентифицировали новый подтип...
ЧИТАТЬ ВСЕВ общенациональном опросе об использовании терапии на основе каннабиса среди американцев с рассеянным склерозом (РС) почти половина респондентов одобрила такие продукты, в...
ЧИТАТЬ ВСЕГрант в размере 957 000 долларов будет направлен на поддержку исследований в Университете Буффало событий, которые предшествуют возникновению нейродегенерации при рассеянном склерозе (РС). В...
ЧИТАТЬ ВСЕСогласно обзорному исследованию, предварительное лечение модифицирующими заболевание терапиями (DMT) не влияет на долгосрочные преимущества Aubagio (терифлуномида) при лечении рецидивирующих форм рассеянного склероза (РС). Исследование « Статус предшествующего лечения:...
ЧИТАТЬ ВСЕ
© 2020 Медицинский журнал «g35.club». Медицинский сайт все о рассеяном склерозе. Вся Информация на данном сайте не должна использоваться для самостоятельной диагностики и лечения и не может быть заменой очной онсультации врача.
Пользовательское соглашение и политика конфиденциальности
© 2018-2020 сайт журнал "G35.club" Медицинский сайт все о рассеяном склерозе.