X-связанная адренолейкодистрофия (X-ALD) — редкое наследственное нарушение обмена веществ, при котором накопление жирных кислот с очень длинной цепью (VLCFAs) приводит к повреждению центральной нервной системы. Поскольку заболевание связано с Х-хромосомой, мужчины сильно страдают, но женщины-носители также могут иметь неврологические симптомы. Мы сообщаем о случае молодой взрослой женщины, у которой наблюдались эпизодические сенсомоторные симптомы. Хотя она была гетерозиготной женщиной-носителем X-ALD, последующие исследования подтвердили диагноз рассеянного склероза (РС). Насколько нам известно, это первый зарегистрированный случай женщины-носителя X-ALD, в которой клинические признаки больше соответствовали сопутствующему РС, чем патологии, связанной с ALD.
29-летняя женщина была направлена в клинику по наследственным метаболическим заболеваниям взрослых с четырехлетней историей эпизодических сенсомоторных симптомов. Первый эпизод начался с онемения правой стопы, который распространился на правую ногу, туловище, руку и лицо и длился шесть недель, прежде чем спонтанно полностью исчезло. В последствии произошло еще восемь эпизодов аналогичного неврологического расстройства, каждый из которых затронул ее правую сторону, продолжительностью от двенадцати дней до шести недель с последующим выздоровлением. Последний приступ характеризовался слабостью и нарушением координации движений правой ноги, сопровождавшимися головокружением и затруднением ходьбы, продолжительностью 12 дней. Она также сообщила о незначительных позывах и частых мочеиспускании. Других неврологических симптомов не было. При первоначальной оценке она жаловалась на остаточное онемение всей правой руки. и боролся с длительным письмом. Другой истории болезни не было. Она в прошлом курила и употребляет умеренные алкогольные напитки.
Ее единственному сыну был поставлен диагноз детской церебральной ALD (CC-ALD), и он умер в возрасте шести лет, несмотря на трансплантацию костного мозга. У нее нет дочерей. Ее мать и единственный брат, сестра, являются известными носителями Х-сцепленной адренолейкодистрофии (X-ALD), но ее бабушка по материнской линии не имеет мутации. Дед по материнской линии умер от вероятного инфаркта миокарда в возрасте 60 лет и не был генотипирован; у него не было нарушений походки. Ее десятилетнему племяннику проведена трансплантация костного мозга, сейчас ремиссия. Другой племянник имеет изменения магнитно-резонансной томографии (МРТ), соответствующие АБП, и в возрасте трех лет не имел симптомов.
На момент обращения в Неврологическую службу общее физическое обследование не отличалось. Острота зрения с обеих сторон составляла 6/6, цветовое зрение 13/13, глазное дно в норме, движения глаз были в полном объеме. Пирамидная слабость правой ноги легкой степени. Рефлексы глубоких сухожилий с обеих сторон оживленные, но обе подошвенные мышцы сгибаются. Координация и ощущения в норме. Оценка расширенного статуса инвалидности (EDSS) составила 2,0.
Исходные гематологические, биохимические и иммунологические анализы крови были нормальными. Признаков дисфункции надпочечников при нормальном уровне кортизола и адренокортикотропного гормона (АКТГ) в сыворотке не было. Жирные кислоты с очень длинной цепью в плазме (VLCFA, Детская больница Шеффилда) были повышены, C26: 0 2,51 γ моль / л (референсный диапазон 0,33–1,50), C24: 0 60 γ моль / л (14-80), C26 / C22 0,045 (0,005-0,030), C24 / 22 1,07 (0,44-0,97). Тестирование гена на мутацию ABCD1 было положительным.
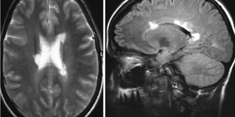
МРТ черепа продемонстрировала несколько областей повышенного сигнала в перивентрикулярном распределении, что соответствует демиелинизации (фигура 1).

(A) Осевые Т2-взвешенные и (B) сагиттальные последовательности магнитно-резонансной томографии с восстановлением инверсии, ослабленные инверсией, показывают перивентрикулярные гиперинтенсивные поражения, типичные для рассеянного склероза.
Анализ спинномозговой жидкости (ЦСЖ) был нормальным (глюкоза 3,1 ммоль / л, белок 302 мг / л, количество лейкоцитов 2 × 10 6 / л), за исключением свидетельств синтеза олигоклональных полос в спинномозговой жидкости ( сыворотка нормальна, тип 2). Зрительные вызванные потенциалы (ЗВП) в норме.
На основании рецидивирующего ремиттирующего анамнеза, результатов обследования, внешнего вида МРТ и несогласованных олигоклональных полос в спинномозговой жидкости был поставлен диагноз ремиттирующе-ремиттирующего рассеянного склероза (РС). Поскольку за предыдущие два года было три клинических эпизода, было начато лечение подкожным интерфероном β-1a (Ребиф 44 мг). Впоследствии его заменили на внутримышечный интерферон β-1a (Avonex) из-за реакций в месте инъекции.
Первоначально частота и тяжесть ее рецидивов снизились в течение последующих трех лет, с двумя эпизодами легких сенсорных симптомов через 6 месяцев (парестезия, поражающая правую ногу, длящаяся неделю) и через 24 месяца (сенсорные симптомы, затрагивающие левую сторону). Однако затем она перенесла еще два приступа в течение следующих 12 месяцев, что привело к остаточной слабости в обеих ногах и парестезии в пояснице. Ее оценка по EDSS увеличилась до 4,0. Повторная МРТ черепа показала новые очаги поражения и усиление контраста. β-интерферон был прекращен, и терапия натализумабом была начата в феврале 2009 года. На сегодняшний день не было никаких других эпизодов неврологических симптомов, кроме легкого эпизода иголок в обе стопы, связанного с трудностями при подъеме по лестнице в январе 2010 года, которые улучшили спонтанно. Ее текущий EDSS — 3,5.
Обсуждение
Х-сцепленная адренолейкодистрофия (X-ALD) — это клинически гетерогенное заболевание с общей частотой 1: 16 800. Заболевание вызвано мутациями в гене ABCD1 на Х-хромосоме на q28, что приводит к дисфункции белка-переносчика пероксисомальной мембраны, члена суперсемейства переносчиков АТФ-связывающих кассет. Функция этого белка неясна; он может участвовать в переносе ЖКОДЦ через клеточную мембрану. При X-ALD VLCFA накапливаются в надпочечниках, семенниках и нервной системе. Демиелинизация происходит в головном, спинном мозге и периферических нервах. Клинический результат — прогрессирующая дисфункция органов, поражающая преимущественно надпочечники и белое вещество центральной нервной системы.
Существует несколько фенотипических вариантов X-ALD. Церебральные варианты различаются по возрасту начала. Церебральная ALD с детским началом (CC-ALD) является наиболее тяжелой формой и проявляется в виде ранней неврологической дисфункции (включая псевдобульбарный паралич, деменцию, изменение личности, корковую слепоту, глухоту и атаксию) и надпочечниковой недостаточности. Большинство пациентов умирают в течение двух-трех лет после начала болезни. Церебральная АБД с началом в подростковом возрасте встречается гораздо реже и обычно возникает в возрасте от 10 до 21 года. Церебральная АБД с началом у взрослых напоминает мозговую форму у детей, но психиатрические проявления более распространены.
При варианте адреномиелоневропатии (АМН) пациенты обычно обращаются позже, во втором-четвертом десятилетии, с дисфункцией спинного мозга, часто спастическим парапарезом. Это может напоминать первичный прогрессирующий РС или наследственный спастический парапарез. Продолжительность жизни в норме. Примерно у 50% этих пациентов есть изменения на МРТ черепа, которые могут напоминать нейрорадиологические проявления рассеянного склероза.
Женщины-носители, гетерозиготные по мутации X-ALD, обычно протекают бессимптомно, но могут иметь легкое поражение головного мозга или надпочечников, которое прогрессирует очень медленно. Средний возраст начала заболевания составляет 40 лет, а клинические признаки могут напоминать синдром, наблюдаемый у мужчин с AMN.
Считается, что патология церебральной X-ALD и AMN различается. При церебральной X-ALD наблюдаются воспалительные демиелинизирующие поражения, которые в основном поражают теменно-затылочное белое вещество. Сообщается о вовлечении мозолистого тела. Гистологически поражения характеризуются наличием лимфоцитов, макрофагов и реактивных астроцитов. При чистом AMN наблюдается дистальная аксонопатия с потерей аксонов и миелина, также обычно поражающей грацильные и кортикоспинальные тракты.
Типичный внешний вид МРТ черепа различается в зависимости от клинического фенотипа. Обширные сливающиеся симметричные изменения можно увидеть в церебральных вариантах. При АМН МРТ может быть нормальным. Фатеми и его коллеги исследовали изменения МРТ у гетерозиготных женщин-носителей X-ALD и обнаружили, что только 4% имели изменения в головном мозге, связанные с заболеванием, с двусторонними симметричными аномалиями белого вещества. у восьмидесяти шести процентов сканирование было нормальным, а у остальных были обнаружены изменения, соответствующие возрасту, цереброваскулярным заболеваниям или предыдущей травме. В другом исследовании Кумар и его коллеги сообщили о распространенности 20% аномалий МРТ головного мозга у гетерозигот женского пола с X-ALD, чаще всего о небольшом увеличении интенсивности сигнала в теменно-затылочном или лобном белом веществе.
Образец олигоклональных полос в спинномозговой жидкости обнаруживается у большинства пациентов с РС и обеспечивает надежную поддержку диагноза в соответствующем клиническом контексте. Тем не менее, олигоклональные полосы также можно увидеть при ALD (д-р Джеффри Кейр, личное письменное сообщение, 14.10.08), но распространенность остается неясной.
Лечение MS и ALD очень отличается. При ALD в качестве потенциальной стратегии лечения были предложены диетические меры. К ним относятся ограничение диетических насыщенных жиров, богатых ЖКОЖК, и дополнительное потребление мононенасыщенных жиров, таких как масло Лоренцо, но результаты пока неутешительны. Трансплантация костного мозга является эффективным методом лечения ALD головного мозга у детей, если она выполняется сразу после появления симптомов, но гораздо менее успешна при ALD головного мозга у подростков или взрослых. Предполагается, что воспалительная реакция в головном мозге лежит в основе наблюдаемых широко распространенных изменений белого вещества, особенно при церебральных формах адренолейкодистрофии, но ряд терапевтических испытаний с иммунодепрессантами, такими как циклофосфамид, циклоспорин и β-интерферон, не привели ни к каким результатам. значительные клинические преимущества.
Имеются опубликованные отчеты о случаях женских гетерозиготных носителей X-ALD с неврологическими симптомами, свидетельствующими о РС, у которых впоследствии был установлен диагноз ALD на основании клинических и биохимических данных. Stockler и сотрудники сообщили о молодой женщине , которая преподносит преходящие зрительные симптомы. Визуальные вызванные ответы были задержаны в правом глазу, а краниальная МРТ выявила два частично слившихся перивентрикулярных поражения. СМЖ у этого пациента не исследовалась. Авторы пришли к выводу, что неврологический синдром скорее связан с АБП, чем с рассеянным склерозом. Krenn et al. Сообщили о 40-летней женщине со спастическим парапарезом, сенсорными симптомами и симптомами со стороны мочевого пузыря и нарушением зрения. МРТ черепа показала перивентрикулярные поражения, присутствовал интратекальный иммуноглобулин, а ЗВП были патологическими. Авторы пришли к выводу, что симптомы были связаны с ALD.
У нашего пациента диагноз РС был установлен на основании рецидивирующего ремиттирующего анамнеза, типичных изменений МРТ (включая усиление контраста, о котором ранее не сообщалось при ALD), положительных олигоклональных полос в спинномозговой жидкости и благоприятного ответа. на модифицирующую болезнь терапию. В частности, преобладание сенсорных симптомов с полным исчезновением считалось более соответствующим РС, чем АБП. Насколько нам известно, это первый зарегистрированный случай рассеянного склероза у носителя ALD и служит напоминанием о том, что неврологические симптомы у носителей редких заболеваний не всегда связаны; иногда более общие сосуществующие условия объясняют презентацию.
Перевод источник











