Новые исследования показывают , что кладрибин ( Mavenclad , EMD Serono), один из последних в растущей области модифицирующих заболевание методов лечения рассеянного склероза (РС), демонстрирует...
ЧИТАТЬ ВСЕПо мнению исследователей, потеря иммунных B-клеток и связанные с этим изменения в профиле иммунных T-клеток являются основным механизмом действия для...
ЧИТАТЬ ВСЕУправление по санитарному надзору за качеством пищевых продуктов и медикаментов США (FDA) одобрило гуманизированное моноклональное антитело экулизумаб ( Soliris, Alexion Pharmaceuticals) для лечения расстройства...
ЧИТАТЬ ВСЕХотя точные причины рассеянного склероза все еще остаются неизвестными, предполагается что заболевание вызывается сочетанием генетических факторов и факторов риска окружающей...
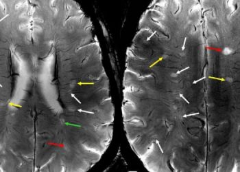
ЧИТАТЬ ВСЕХотя роль сосудистой патологии при поражениях рассеянного склероза (РС) была предложена давно, выведение этих поражений из сосудистой системы было трудно...
ЧИТАТЬ ВСЕ
© 2020 Медицинский журнал «g35.club». Медицинский сайт все о рассеяном склерозе. Вся Информация на данном сайте не должна использоваться для самостоятельной диагностики и лечения и не может быть заменой очной онсультации врача.
Пользовательское соглашение и политика конфиденциальности
© 2018-2020 сайт журнал "G35.club" Медицинский сайт все о рассеяном склерозе.