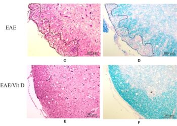
Рассеянный склероз (РС) - это прогрессирующее заболевание центральной нервной системы (ЦНС), которое включает повреждение миелиновой оболочки, окружающей аксоны. Терапия рассеянного склероза...
ЧИТАТЬ ВСЕАвтор: профессор Гэвин Джованнони Наш интерес к ингибиторам БТК начался около 5 лет назад, когда мы с Mouse Doctor почти...
ЧИТАТЬ ВСЕРитуксимаб , исследуемая терапия истощения B-клеток, нацеленная на CD20 для лечения людей с рассеянным склерозом (РС), оказывает значительное влияние на...
ЧИТАТЬ ВСЕНовое исследование показывает, что у людей с ремиттирующим рассеянным склерозом ( RRMS ) связь между частями мозга, связанными с зрением...
ЧИТАТЬ ВСЕИсследования с использованием изображений, серологии, патологии и генетики, а также реакции пациента на противовоспалительное лечение показывают, что рассеянный склероз (РС)...
ЧИТАТЬ ВСЕ
© 2020 Медицинский журнал «g35.club». Медицинский сайт все о рассеяном склерозе. Вся Информация на данном сайте не должна использоваться для самостоятельной диагностики и лечения и не может быть заменой очной онсультации врача.
Пользовательское соглашение и политика конфиденциальности
© 2018-2020 сайт журнал "G35.club" Медицинский сайт все о рассеяном склерозе.