Рассеянный склероз (РС) — это прогрессирующее заболевание центральной нервной системы (ЦНС), которое включает повреждение миелиновой оболочки, окружающей аксоны. Терапия рассеянного склероза основана на иммуномодулирующих препаратах, снижающих рецидивы и тяжесть заболевания. Витамин D — это гормон, иммуномодулирующая способность которого была широко продемонстрирована, в том числе при экспериментальном аутоиммунном энцефаломиелите (EAE), который является животной моделью воспаления ЦНС. В этом исследовании мы оценили потенциал очень раннего вмешательства с активной формой витамина D (1,25-дигидроксивитамин D3) для контроля нейровоспаления во время развития EAE. ЕАЕ был индуцирован у мышей C57BL / 6J, и введение 1,25-дигидроксивитамина D3 начиналось через 1 день после индукции заболевания. Эта процедура снизила распространенность, клинический балл, воспаление и демиелинизацию. NLRP3, каспаза-1, интерлейкин (IL) -1β, CX 3 CR1, CCL17, RORc и Tbx21 в ЦНС. В противном случае экспрессия мРНК ZO-1 увеличивалась в поясничном отделе спинного мозга. Эти эффекты сопровождались стабилизацией проницаемости гематоэнцефалического барьера.
Результаты этого исследования показывают, что раннее вмешательство с 1,25-дигидроксивитамином D3 (кальцитриол) может контролировать нейровоспалительный процесс, который является отличительной чертой иммунопатогенеза EAE и MS, и поэтому его следует изучать в качестве дополнительной терапии для пациентов с MS.

Рисунок A.
Как и ожидалось, у большинства животных (95,2%) из группы EAE развились признаки паралича, тогда как только 23,8% животных EAE / Vit D заболели.
1,25-VitD3 отсрочил начало болезни на 6 дней.
Ежедневный и общий совокупный балл, клинический балл и максимальный клинический балл, которые являются широко используемыми параметрами для оценки тяжести заболевания, также были явно уменьшены этим витамином, как показано на Рисунки B.
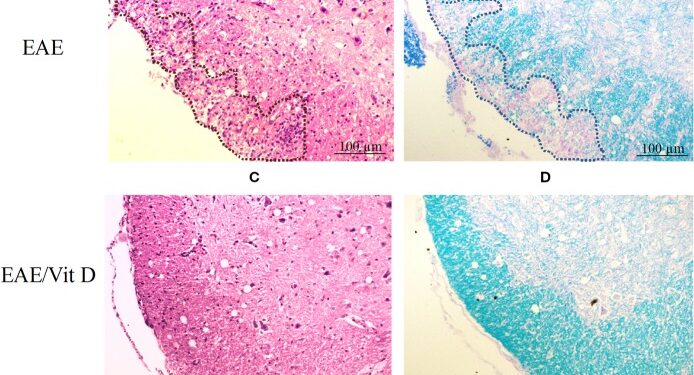
Кальцитриол ослабляет воспаление и демиелинизацию спинного мозга
Окрашенные H & E срезы поясничного отдела спинного мозга мышей с EAE выявили заметный воспалительный инфильтрат, расположенный в мозговых оболочках и паренхиме. Распределение инфильтрата ограничено пунктирной линией в Рисунок 2C. Это резко контрастирует с данными, полученными на мышах EAE / Vit D, у которых не было воспаления или было обнаружено лишь небольшое количество воспалительных клеток (Рисунок 2E). Эта дифференциальная степень воспаления была оценена с помощью полуколичественного анализа, который подтвердил значительно уменьшенное воспаление у мышей EAE / Vit D, как показано на Рисунок 2G (среднее ± SEM): EAE: 2,8 ± 0,1 и EAE / Vit D: 0,2 ± 0,2; f : 195. На срезах, окрашенных LFB, были обнаружены демиелинизирующие поражения, совпадающие с локализацией воспаленной области у мышей EAE (Рисунок 2D) и их отсутствие у животных с EAE / VitD (Рисунок 2F). Ожидаемое отсутствие воспаления и демиелинизации в срезах спинного мозга от нормальных контрольных мышей проявляется в Рисунки 2A , B соответственно.

Кальцитриол сдерживает клеточную инфильтрацию в центральную нервную систему
Общее количество клеток, элюированных из ЦНС, рассчитывалось на грамм ткани и указывало на значительное снижение у мышей EAE / Vit D (среднее ± SEM): контроль: 41,4 ± 7,1, EAE: 176,2 ± 14,2 и EAE / Vit D: 100,0 ± 19,6; ж : 21,6 (Рисунок 3A). Чтобы выяснить, нацелен ли этот эффект на определенные типы клеток, клетки анализировали с помощью проточной цитометрии. В этом снижении участвовали лимфоциты (CD45 High CD11b — ) (среднее ± SEM): контроль: 1,3 ± 0,3, EAE: 10,6 ± 1,8 и EAE / Vit D: 6,1 ± 0,9; f : 9,9, инфильтрирующие макрофаги и активированная микроглия (CD45 High CD11b + ) (среднее ± SEM): 1,34 ± 0,2, EAE: 25,2 ± 5,5 и EAE / Vit D: 16,1 ± 3,6; f : 9.9, как показано на Рисунки 3C,D соответственно. Частота покоящейся микроглии (CD45 Low CD11b + ) (среднее ± SEM): контроль: 24,5 ± 3,0, EAE: 17,2 ± 1,4 и EAE / Vit D: 21,5 ± 1,7; f : 3,5, который был предсказуемо ниже у животных с EAE, был аналогичен частоте, обнаруженной у нормальных мышей (Рисунок 3E). Чтобы оценить общее количество клеток в этих трех популяциях, мы использовали правило трех математических методов, учитывая общее количество клеток, показанное на Рисунок 3A 100%. Этот расчет, проиллюстрированный на Рисунок 3B, позволил нам оценить общее количество каждой клеточной популяции (лимфоцитов, макрофагов / активированных микроглии и микроглии в состоянии покоя). Поразительное сокращение можно наблюдать в трех популяциях ЦНС группы EAE / Vit D. Стратегия гейта, принятая для каждой экспериментальной группы, проиллюстрирована на Рисунки 3F – H.

Примечание кальцитриол (1,25 — (OH) 2D3), секостероидный гормон, который является активной формой витамина D. Кальцифедиол также может быть преобразован в почках в 24-гидроксикальцидиол через 24-гидроксилирование.
Полная версия Перевода источник











