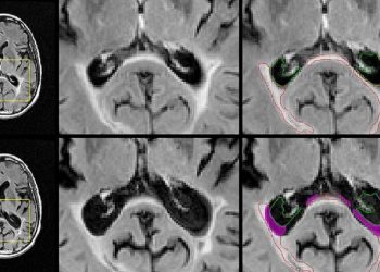
Ориентация на неконтролируемые Т-клетки предотвращает и устраняет рассеянный склероз у мышей
Рассеянный склероз является аутоиммунным заболеванием, поражающим как взрослых, так и детей. Он управляется «вспомогательными» Т-клетками, белыми кровяными клетками, которые вызывают воспалительную...











