Более 1300 пациентов в регионе Буффало с рассеянным склерозом предоставили доказательства, которые помогут врачам во всем мире лучше предсказать, кто скорее всего получит наиболее агрессивную форму заболевания.
Исследователи из Университета в Буффало на этой неделе опубликовали результаты долгосрочного исследования, которое использовало сканирование головного мозга этих пациентов, чтобы понять, как формируется вторично-прогрессирующий РС.
Они свяжут эти результаты с записями о лечении, насчитывающими более десяти лет, чтобы увидеть какие лекарства и другие методы лечения использовались пациентами, у которых развилась наиболее серьезная форма рассеянного склероза, а кто нет.
Полученные результаты должны направить исследователей на путь улучшения диагностики и лечения, сказал д-р Роберт Зивадинов, ведущий автор исследования, опубликованного в последнем издании медицинского журнала Radiology.
Рассеянный склероз формируется, когда иммунная система атакует оболочки, которые защищают нервные волокна головного мозга, спинного мозга и зрительных нервов. Результат поражений. Симптомы могут включать усталость, онемение или покалывание, проблемы с ходьбой или зрением, боль и туман в мозгу.
Диагноз как правило подтверждается с помощью магнитно-резонансной томографии (МРТ) для выявления связанных повреждений, часто вызванных физической травмой, инсультом, нормальным старением или хроническим заболеванием.
По словам Зивадинова, большее количество и размер очагов поражения указывают на то, что заболевание вспыхнуло или прогрессировало, но врачи UB также отслеживали пациентов, у которых эти очаги растворялись в жидкости, которая накапливалась в закоулках мозга.

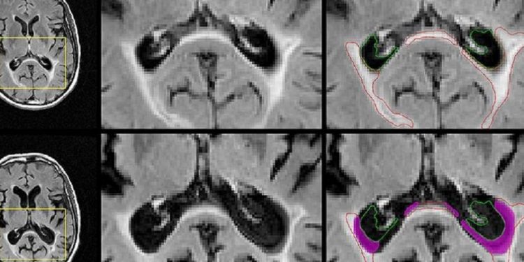
Желтые прямоугольники показывают область, увеличенную слева.
Верхний ряд показывает базовые изображения;
внизу, последующие изображения.
Пурпурный указывает области, которые были повреждены в начале, которые растворились в спинномозговой жидкости в последующем.
(Фото любезно предоставлено UB Jacobs School of Medicine и Медико-биологические науки)
Они обнаружили, что пациенты у которых это явление было наиболее выраженным, испытывали большее повреждение ткани головного мозга, гораздо чаще имели вторичный прогрессирующий рассеянный склероз, и что сканирование мозга могло обеспечить прогнозирующее окно в это развитие.
«Эти повреждения исчезают из-за превращения в спинномозговую жидкость, — сказал Зивадинов, — и это ключевой результат в этом исследовании».
Связанное с этим исследование МРТ показало, что более 90 процентов пациентов, у которых развилась вторичная прогрессирующая РС, испытывали это явление в течение пятилетней фазы исследования, сказал Зивадинов, директор Центра анализа нервной визуализации Буффало и глава Центра биомедицинских изображений в Клинике UB и Институт трансляционных наук.
По словам доктора Бьянки Вайншток-Гуттман, профессора неврологии UB и члена исследовательской группы, пациенты могут быть обеспокоены тем, что это явление происходит раньше, но если врачи смогут обнаружить его раньше, это даст им больше времени и инструментов для вмешательства.
«Мы пытаемся предотвратить формирование этих очагов в первую очередь, и теперь мы также ищем лекарства, которые, как мы надеемся, предотвратят потерю очагов поражения», когда вторично прогрессирует рассеянный склероз, сказал Вайншток-Гутман, директор Jacobs Центр лечения и исследований рассеянного склероза в Баффало.
Вайншток-Гутман также руководит консорциумом MS штата Нью-Йорк, который на протяжении 20 лет отслеживает около 10 000 пациентов со всего штата, продолжая прилагать усилия, чтобы больше узнать о методах лечения и поведении, которые лучше всего служат пациентам.
«Преимущество нашего центра в Буффало состоит в том, что большинство наших пациентов используют одну и ту же МРТ-машину», — сказала она. «Мы можем вернуться и узнать больше и поделиться им с исследователями РС по всему миру».
Исследователи UB наблюдали за 1314 людьми с рассеянным склерозом в течение периода исследования, многие из которых были на срок до десяти лет. Пациенты в клинических испытаниях наблюдались в среднем в течение пяти лет. Более 1000 были женщины, средний возраст 46 лет.
МРТ также проводились в контрольной группе из более чем 100 человек, у которых нет рассеянного склероза.
Ведущие исследователи в UB и в других центрах уже обнаружили, что несколько факторов повышают риск развития рассеянного склероза, включая высокое кровяное давление и другие сердечно-сосудистые заболевания, курение, ожирение и диабет 2 типа.
Исследования также показывают, что диета, богатая фруктами, овощами и ненасыщенными жирами, наряду с регулярными физическими упражнениями, часто может уменьшить вспышки и продлить ремиссию.
Результаты не являются абсолютными.
«Некоторые люди меняют диету и чувствуют себя лучше», — сказал Зивадинов. «Некоторые люди меняют диету и не чувствуют себя лучше!!. Проблема в том, что есть так много мешающих факторов ».
Сегодня более десятка пероральных, инъекционных и инфузионных препаратов помогают лечить РС. По словам Вайнштока-Гутмана, они стали в два раза эффективнее, чем препараты первой линии прошлых десятилетий.
Федеральное управление по санитарному надзору за качеством пищевых продуктов и медикаментов требует новых лекарств от рассеянного склероза, чтобы уменьшить количество поражений головного мозга у пациента в течение двух лет. Это может измениться теперь, когда исследования UB нашли способ, который более точно сигнализирует о прогрессии во многих случаях.
Исследователи до сих пор не знают точно, что вызывает развитие поражений, или не понимают, как их превращение в спинномозговую жидкость способствует вторичной прогрессирующей РС. Они также не уверены в ключевых различиях между поражениями, которые исчезают, и теми, которые не исчезают.
Исследователи UB начинают изучать нетрадиционные методы МРТ и позитронно-эмиссионной томографии (ПЭТ), чтобы узнать больше.
«Количество поражений, которые исчезают на поздней стадии рассеянного склероза, в десять раз больше поражений на ранней стадии… так что это действительно важное наблюдение», — сказал Зивадинов. «Теперь у нас может быть действительно прямое применение для лучшей диагностики, более ранней диагностики прогрессирующих пациентов, и, следовательно, мы можем рассматривать гораздо более агрессивную терапию у пациентов, которые даже стабильны, но демонстрируют признаки исчезновения этих повреждений в ускоренном режиме».











