Глаз — это окно в мозг, и, измеряя, насколько он здоров, мы можем определить, насколько здоров остальной мозг», — говорит Питер А. Калабрези, доктор медицинских наук, профессор неврологии в Университете имени Джона Хопкинса. Медицина и руководитель исследований, описанных в недавних выпусках неврологии Ланцет и Архив неврологии . «Сканирование глаза не так дорого, действительно безопасно и широко используется в офтальмологии, и теперь, когда у нас есть доказательства их прогностической ценности при РС, мы думаем, что они готовы к прайм-тайму. Мы должны использовать этот новый количественный инструмент для узнать больше о прогрессировании заболевания, включая повреждение нервов и атрофию головного мозга ».
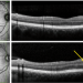
Калабрези и его коллеги использовали оптическую когерентную томографию (ОКТ) для сканирования нервов глубоко в задней части глаза, применяя разработанное ими специальное программное обеспечение, которое способно оценивать ранее неизмеримые слои светочувствительной ткани сетчатки. Сканирование не использует вредного излучения и составляет одну десятую стоимости МРТ. Программное обеспечение скоро будет широко доступно на коммерческой основе.
В статье Lancet Калабрези и его команда сообщили об измерении толщины или набухания внутреннего ядерного слоя сетчатки у 164 пациентов с РС и 60 здоровых контрольных пациентов после изменений в этих тканях в течение четырех лет. В то же время они также использовали МРТ головного мозга для непосредственного измерения пятен воспаления и проводили клинические испытания для определения уровня инвалидности.
Чем больше воспаление и отек исследователи обнаружили в сетчатке пациентов с РС, тем больше воспаление обнаружилось в МРТ головного мозга. Корреляция, по их словам, подтвердила ценность сканирования сетчатки как отдельного заменителя для повреждения головного мозга. Наличие такой легко доступной информации может позволить врачам точно определить, насколько далеко зашло заболевание, и лучше консультировать пациентов о том, как им следует продолжать лечение.
Исследователи также обнаружили микроцистный макулярный отек в центральной части сетчатки у 10 пациентов с РС, крошечные очаги жидкости, обычно встречающиеся у пожилых людей, обычно диабетиков. Хотя Калабрези предупреждает, что сканирование глаза еще не имеет первичной диагностической ценности для рассеянного склероза, он говорит, что обнаружение такой кисты на глазу молодого, здорового человека может быть причиной того, что ее обследуют на предмет расстройства.
В Соединенных Штатах приблизительно 400 000 человек живут с РС. Заболевание обычно проявляется в возрасте от 20 до 50 лет и поражает женщин в два-три раза больше, чем мужчин.
В статье, опубликованной в « Архиве неврологии» , Калабрези и его коллеги изучили сканирование глаза и мозга у 84 пациентов с РС и 24 здоровых людей. На этот раз они сфокусировались на двух других глубоких слоях сетчатки: слое ганглиозных клеток + внутренний плексиформный слой (GCL + IPL) и перипапиллярный слой нервных волокон сетчатки (pRFNL). Большая потеря клеток в этих областях была тесно связана с большей атрофией серого вещества головного мозга, что означало большее повреждение нервов от РС. Серое вещество состоит из той части мозга, где живут нервные клетки, и играет роль, аналогичную жесткому диску компьютера, в отличие от белого вещества, которое больше похоже на проводку, которая передает информацию от головного мозга к спинному мозгу и остальным. нервов тела.
Калабрези, директор Центра рассеянного склероза Джонса Хопкинса, говорит, что это открытие особенно важно, потому что нейродегенерацию очень трудно точно измерить. У молодого человека с РС мозг может атрофироваться, но может не вызывать никаких симптомов, потому что мозг способен компенсировать то, что теряется. В конечном счете, однако, потеря клеток мозга становится очевидной и необратимой. Калабрези говорит, что если он увидит толщину на снимке глаза, указывающую на серьезную атрофию, он посчитает прогноз пациента менее обнадеживающим, чем у человека со здоровой сетчаткой, и эта информация может помочь врачам вести себя более агрессивно. Например, он говорит, что он, вероятно, удвоит усилия, чтобы ввести пациента в клиническое испытание для экспериментального лечения до того, как будет нанесен слишком большой постоянный ущерб.
Калабрези говорит, что его результаты могут также изменить подход исследователей к РС, долгое время считавшееся вызванным иммунной системой, которая неправильно атакует жирный белок, называемый миелином, который изолирует нервы и помогает им посылать электрические сигналы, которые контролируют движение, речь и другие функции. Полезность сканов повышает вероятность того, что может происходить что-то еще, поскольку в сетчатке глаза нет миелина. Если иммунная система, наряду с миелином, стремится к чему-то другому, это может помочь исследователям найти новые лекарственные средства, предназначенные для ослабления симптомов рассеянного склероза, таких как нарушение зрения, онемение и слабость.
«Очень важно знать, что атакует иммунная система», — говорит он. «Лечение, которое мы проводим сейчас, только умеренно эффективно, поэтому, возможно, мы не блокируем правильные виды клеток».











