Получены убедительные доказательства того, что виновата C. perfringens , продуцирующая эпсилон-токсин.
Некоторые из самых ранних доказательств были получены на моделях мышей. Когда Рума и его коллеги подвергли мышей воздействию эпсилон-нейротоксина вместо коклюшного токсина, их гематоэнцефалический барьер нарушился более резко, и поражения их нервной системы соответствовали характерным закономерностям, наблюдаемым у людей с рассеянным склерозом.
Затем, с помощью ПЦР, команда продемонстрировала, что люди с рассеянным склерозом имеют гораздо более высокие уровни C. perfringens , продуцирующих эпсилон-токсин, в кишечнике, чем население в целом: 61 процент пациентов с рассеянным склерозом дали положительный результат по сравнению с 13 процентами здоровых людей из контрольной группы. а пациенты с рассеянным склерозом несли в кишечнике в 1000 раз больше бактерий, чем здоровые бессимптомные носители.
Что касается того, как пациенты впервые стали устойчиво колонизированы этим агрессивным штаммом C. perfringens , в первую очередь, неизвестно, «вероятно, это генетическая предрасположенность или состав их микробиома», — говорит Фишетти. «Мы подозреваем, что именно эти штаммы колонизируют одних людей более эффективно, чем других».
Эти результаты положили начало поиску терапевтических и диагностических средств в лаборатории Фишетти для раннего выявления и лечения рассеянного склероза — направление, которое затрагивает суть усилий его лаборатории по поиску уникальных способов лечения бактериальных инфекций, особенно с помощью альтернативных антибиотиков, таких как лизины. .
«Существует очень мало организмов, ответственных за неврологические заболевания», — говорит он. «Наша лаборатория занимается не только инфекционными заболеваниями как таковыми, но и тем, как бактерии могут вызывать заболевания».
Непосредственная цель команды — найти убедительные доказательства связи эпсилон-токсина с рассеянным склерозом. «Нам нужно отойти от кишечника и показать, что эпсилон-токсин присутствует в сыворотке и спинномозговой жидкости пациентов с рассеянным склерозом в активной фазе заболевания», — говорит Румах. «Если мы сможем обнаружить токсин в крови, у нас будут неопровержимые доказательства того, что он играет роль в рассеянном склерозе».
Clostridium perfringens , продуцирующая эпсилон-токсин, колонизирует микробиом кишечника при рассеянном склерозе, преодолевая иммунные привилегии ЦНС.
Рассеянный склероз (РС) – это сложное заболевание ЦНС, которое, как считается, требует воздействия окружающей среды. Дисбиоз кишечника часто встречается при рассеянном склерозе, но конкретные возбудители неизвестны.
Чтобы восполнить этот пробел в знаниях, мы использовали чувствительное и количественное обнаружение ПЦР, чтобы показать, что люди с рассеянным склерозом с большей вероятностью являются носителями и демонстрируют большее количество штаммов C, продуцирующих эпсилон-токсин (ETX) . perfringens в их кишечных микробиомах по сравнению с лицами, которые являются здоровыми людьми из контрольной группы (HC).
Изоляты, полученные от пациентов с рассеянным склерозом, продуцировали функциональный ETX и имели генетическую архитектуру, типичную для высококонъюгативных плазмид. В модели активной иммунизации экспериментального аутоиммунного энцефаломиелита (EAE), где коклюшный токсин (PTX) используется для преодоления иммунных привилегий ЦНС, ETX может заменить PTX.
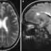
В отличие от EAE, индуцированного PTX, при котором воспалительная демиелинизация в основном ограничивается спинным мозгом, ЭАЭ, индуцированный ЭТХ, вызывает демиелинизацию в мозолистом теле, таламусе, мозжечке, стволе головного мозга и спинном мозге, что больше похоже на распределение нейроанатомических поражений, наблюдаемое при рассеянном склерозе. . Транскрипционные профили эндотелиальных клеток ЦНС выявили ETX-индуцированные гены, которые, как известно, играют роль в преодолении иммунных привилегий ЦНС.
В совокупности эти данные позволяют предположить , что ETX-продуцирующий C. Штаммы perfringens являются биологически вероятными патогенами рассеянного склероза, которые вызывают воспалительную демиелинизацию в контексте циркулирующих миелиновых аутореактивных лимфоцитов.











