На недавнем ежегодном собрании Консорциума центров рассеянного склероза в Нэшвилле исследователи представили захватывающее 48-недельное обновление клинического исследования фазы 2, оценивающего антагонист Env pHERV-W , GNbAC1, для эффективности в лечении пациентов с РС (CHANGE-MS). ). Исследуемое соединение, GNbAC1, нацелено на белок оболочки (Env) ретро-вируса, ассоциированного с эндогенным рассеянным склерозом человека (HERV-W / MSRV), который, как полагают, играет критическую роль в патофизиологии рассеянного склероза (MS).
Потенциальная значимость прорыва: устранение причины РС
Клинические испытания GNbAC1 также проверяют новую гипотезу о фактической причине РС. 1-4 Антиген GNbAC1 — это белок Env, обнаруженный в моноцитах и микроглии. Белок Env кодируется типом элемента ДНК, называемого патогенным эндогенным ретровирусом человека (pHERV). Они представляют собой древнюю вирусную ДНК, внедренную в человеческий геном миллионы лет назад. Приблизительно 8% генома человека состоит из таких включений вирусной ДНК.
Эффективность GNbAC1 при MS предполагает, что первоначальный вирусный триггер для MS — это не просто вирусное воздействие в раннем детстве, которое вызывает MS у генетически восприимчивого человека. Вместо этого эти результаты предполагают, что исходной вирусной основой РС является некоторая древняя вирусная ДНК в нашем геноме, находящаяся в состоянии покоя внутри нас, которая подавляется вирусами окружающей среды (например, вирусом Эпштейна-Барра). 5
Результаты
24-недельные результаты CHANGE-MS продемонстрировали статистическую тенденцию в пользу ремиелинизации при самой высокой протестированной дозе (18 мг / кг в месяц). 6 Все пациенты, которые не выпали из 24-недельного плацебо-контролируемого исследования (n = 247), продолжали активное лечение. Пациенты, которых лечили плацебо, были рандомизированы на дозы 6 мг / кг, 12 мг / кг или 18 мг / кг GNbAC1, назначаемые ежемесячно.
Польза от замедления атрофии мозга

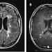
Еще через 24 недели (неделя 48) анализ сравнил пациентов, которые непрерывно лечились одной из возрастающих доз GNbAC1, с контрольной группой, которой лечили плацебо в течение первых 24 недель, затем 6 мг / кг, 12 мг. / кг или 18 мг / кг ежемесячно в течение дополнительных 24 недель). Пациенты, которые непрерывно получали 18 мг / кг GNbAC1, имели данные визуализации головного мозга для улучшения ключевых показателей нейродегенерации (таблица), связанных с прогрессированием заболевания:
- Таламус, кора головного мозга. и объемы всего мозга
- Гипоинтенсивность T1 (обычно называемая черными дырами )
- MTR (коэффициент передачи намагниченности)
Скорость атрофии (потери объема) ускоряется при MS; непрерывное лечение GNbAC1 18 мг / кг, назначаемое ежемесячно, замедляло скорость атрофии в таламусе и коре головного мозга. Хотя различия в потере объема всего мозга не были статистически значимыми, точка перегиба в скорости потери объема наблюдалась в точке, когда пациенты переходили от плацебо к активному лечению.
Польза от снижения числа гипоинтенсивностей Т1
Наблюдалось снижение на 63% среднего числа более крупных (> 14 мм 3 объема) новых гипоинтенсивностей Т1 у пациентов, получавших непрерывно 18 мг / кг GNbAC1 ежемесячно по сравнению с контрольной группой ( P = 0,014).
Выгода от коэффициента передачи намагниченности
Польза MTR для GNbAC1 18 мг / кг по сравнению с группой плацебо через 6 месяцев оставалась стабильной по сравнению с контрольной группой через 12 месяцев, что позволяет предположить, что GNbAC1 является полезным для ремиелинизации.
Безопасность и переносимость
Безопасность и переносимость GNbAC1 оставались хорошими, давая надежду, что GNbAC1 может быть безопасным вариантом лечения для борьбы с нейродегенерацией. Кажется очевидным, что польза от GNbAC1 для пациентов с РС в основном заключается в замедлении нейродегенерации и возможной нейропротекции / ремиелинизации, а не в снижении нейровоспаления. Более высокие дозы GNbAC1 должны быть проверены на людях с РС, чтобы увидеть, можно ли увидеть еще более сильный эффект.
Резюме
48-недельные результаты CHANGE-MS важны, потому что это испытание является первой клинической демонстрацией преимуществ использования антител против HERV. Существуют постоянные испытания концепции GNbAC1 для сахарного диабета 1 типа, и FDA уже предоставила орфанное лекарственное средство для GNbAC1 для хронической воспалительной демиелинизирующей полиневропатии.











